今ある歯を薬剤で白くする治療
- 浜松町駅前オレンジ歯科・文化放送メディアプラスB1『歯を白くする歯医者さん』TOP
- 今ある歯を薬剤で白くする治療
ヤニ取り

歯の黄ばみや歯ぐきの黒ずみは、たばこのヤニ汚れが原因かもしれません。通常のブラッシングでは落とすことができない、たばこのヤニによる歯の黄ばみや歯ぐきの黒ずみは、歯医者できれいに落とせます。
ヘビースモーカーの方や長年たばこを吸ってきた方、人と接する仕事の方、口臭やヤニの臭いが気になっている方は当院にご相談ください。
着色汚れ・歯石を除去する「GBTクリーニング」
EMS社のエアフローを導入しています。
エアフローは、微粒子パウダーをジェット噴射で吹き付けることで歯の表面を綺麗にする歯のクリーニングの一種です。歯や歯ぐきを傷つけることなく、茶渋やヤニなどの着色汚れや、バイオフィルムを除去することができます。
「痛いのが苦手な方」「歯列矯正中の方」「インプラントのメンテナンス」にも適した治療です。
GBTクリーニングの費用
| GBTクリーニング(60分) | 13,000円(税込) |
|---|---|
| 1Dayホワイトニングと同時施術(120分) | 27,000円(税込) |
GBTクリーニングの症例
CASE.01

- Before -

- 染め出し -

- After -
| 治療内容 | GBTクリーニング |
|---|---|
| 治療期間・回数 | 施術60分・1回 |
| 治療費用 | 13,000円(税込) |
| 副作用・リスク | 歯ぐきに腫れや歯肉炎のある方は、器具の接触やパウダーがあたることにより、痛みや出血が生じる場合があります。 |
※注意事項※
下記にあてはまる方は禁忌・禁止事項の対象となるため施術ができません。
- パウダーの成分に対し、発疹、皮膚炎等の既往歴のある患者。慢性の気管支炎、喘息、上気道感染症、その他呼吸器疾患の患者。 重篤な消化器官潰瘍のある患者。
- 腎臓障害のある患者。 心機能障害、肺機能障害のある患者。
- 口腔内に傷や異常が認められる患者。
- 口腔粘膜が炎症、ただれを起こしやすい患者。
たばこは歯周病を悪化させます

たばこは歯周病と大きく関係があります。たばこを吸うと、そこに含まれる成分が影響して歯ぐきの血管が収縮します。毛細血管の血流が阻害され、免疫細胞である白血球の数が減ってしまいます。そのため、歯周病菌がお口の中で繁殖しやすくなり、歯周病が悪化してしまうのです。また、長期間喫煙されている方は歯ぐきが固くなりやすく、口内の他の病気を発症することもあります。
ホワイトニングで
歯を健康的に白くして
笑顔に自信を
浜松町駅北口徒歩1分・大門駅地下1階直結の歯医者「歯を白くする歯医者さん・オレンジ歯科」では、安心・安全なホワイトニングをご提供しています。歯の色がくすんで汚く見えてしまい、「笑うのが恥ずかしい」と悩んでいる方はたくさんいらっしゃいます。当院では通常のホワイトニングはもちろん、神経を失った歯を白くしたり、ヤニ汚れの歯・歯ぐきをきれいにすることができます。白く美しい歯と健康的な口元で、思い切り笑えるようになりましょう。土日・祝日も診療しているので、お気軽にご来院ください。
オフィスホワイトニング
オフィスホワイトニングは、歯医者で行うホワイトニングです。高濃度の専用薬剤や特殊な光の照射を行いて、歯のトーンをあげて明るく白くします。歯科医師や歯科衛生士など国家資格を持つプロが施術し、短期間で白くできるのが特長です。
「ウルトラデント社」の
ホワイトニング剤を使用

当院では、オフィスホワイトニングの薬剤にウルトラデント社の「オパールエッセンスブースト」を使用しています。この薬剤は、歯医者にて歯科医師の指導の下でのみ使用を許可されています。ウルトラデント社特許の圧縮配合シリンジにより、常に新鮮な状態で薬剤を使用できるため、高いホワイトニング効果が期待できます。また、特殊な配合により薬剤が歯にしみるのを抑えられていて、エナメル質を強化する効果もあります。
歯科衛生士が入念に
検査・クリーニングを行う

ホワイトニングの前後に、歯科衛生士が現在の歯の色や虫歯・歯周病の有無など、患者さまのお口の状態を入念にチェックします。歯や歯ぐきの間に汚れや磨き残しなどがあれば、ホワイトニング効果を高めるためにきれいに清掃します。
その後、患者さまのご希望をお伺いして歯をどのくらいのトーンにするか決定していきます。ホワイトニング施術を行うに当たって、その効果を高めることだけでなく、患者さまの健康へ配慮します。
施術後、患者さまと一緒に
歯の白さを確認してケア方法をアドバイス

ホワイトニング施術後、理想的な白さになったかを患者さまと一緒に確認します。そして、歯の白さを維持するための注意事項やケア方法を丁寧にお伝えします。
ホワイトニングの施術後にご注意いただきたい点
- 3日間は温度差の激しい飲食物はお控えください
- 色の濃い飲食物はお控えください(カレー、コーヒー、ワインなど)
- アクやタンニンの強い飲み物を控えてください(コーヒー、ワインなど)
オフィスホワイトニングの費用
| 1回目 | 25,000円(税込) |
|---|---|
| 2回目※3ヶ月以内 | 21,000円(税込) |
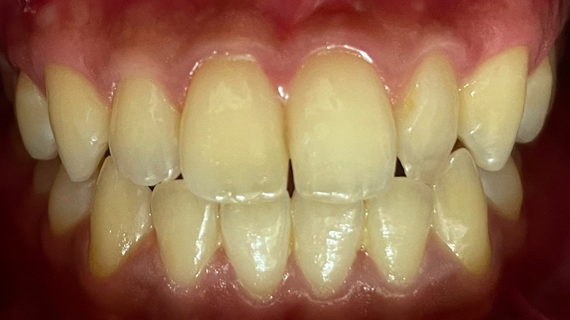
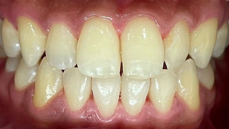
CASE.01

- Before -

- After -
| 治療内容 | ホワイトニング3回コース |
|---|---|
| 治療期間・回数 | 3週間・3回 |
| 治療費用 | 55,000円(税込) |
| 副作用・リスク | 歯の白さの後戻りや、知覚過敏の症状が生じる場合があります。 |
CASE.02

- Before -

- After -
| 治療内容 | ホワイトニング1回 |
|---|---|
| 治療期間・回数 | 1日・1回 |
| 治療費用 | 25,000円(税込) |
| 副作用・リスク | 歯の白さの後戻りや、知覚過敏の症状が生じる場合があります。 |
CASE.03

- Before -

- After -
| 治療内容 | ホワイトニング1回 |
|---|---|
| 治療期間・回数 | 1日・1回 |
| 治療費用 | 25,000円(税込) |
| 副作用・リスク | 歯の白さの後戻りや、知覚過敏の症状が生じる場合があります。 |
CASE.04

- Before -

- After -
| 治療内容 | ホワイトニング3回コース |
|---|---|
| 治療期間 | 3週間 |
| 治療費用 | 55,000円(税込) |
| 副作用・リスク | 歯の白さの後戻りや、知覚過敏の症状が生じる場合があります。 |
ホームホワイトニング
ご自宅で行うホワイトニングで、専用のマウスピースに薬剤を注入して一定時間(90分)装着していただくことで歯を白くします。ご自身のペースで行えて、白さが長続きします。
「ウルトラデント社」の
オパールエッセンスGoを使用

ホームホワイトニングに用いる薬剤は、ウルトラデント社の歯科医院専売製品である「オパールエッセンスGo」です。マウスピースは使い捨てで歯型を採る必要もなく、歯医者にてご購入後すぐに使えます。あらかじめホワイトニングジェルが充填されたマウスピースが体温により歯にフィットし、歯を白くします。使用時間は1日90分で、連続10日間使用可能です。
歯科衛生士が使い方や注意点を
丁寧に指導

歯科衛生士が、ホームホワイトニング剤の使い方や注意点を分かりやすく丁寧にお伝えします。ご自宅で正しく継続的に使用することで、高いホワイトニング効果を得られます。
ホームホワイトニングの施術でご注意いただきたい点
- 使用中は噛まないでください
- トレイ(マウスピース)を指で押さないでください
- 就寝中は使用しないでください
- 歯医者で指示を受けた時間以上の装着はしないでください
- 違和感や不具合は歯医者に相談してください
- 歯並びによっては行えない場合があります
ホームホワイトニングの費用
| 39ホワイトニング | 3,900円(税込) |
|---|---|
| ホワイトニング追加マウスピース | 7,900円(税込) |
デュアルホワイトニング

デュアルホワイトニングは、オフィスホワイトニングとホームホワイトニングを組み合わせた方法です。歯医者で行うホワイトニングは高濃度薬剤を用いるため即効性があり、短期間で歯を白くできますが、施術後に徐々に後戻りします。でも、ご自宅でホワイトニングを継続的に行えば、美しい白さを長続きできます。
デュアルホワイトニングのメリット
| 短期間で理想の 白さが手に入る |
白くなりにくい歯にも効果的 | 長期的に白さを維持できる | ||
|---|---|---|---|---|
| ホームホワイトニングだけで理想の白さを実現するにはかなりの時間がかかります。オフィスも併用して行えば、ホームのみと比較にならないほど短期間で歯を理想的な白さにすることが可能です。 | 白くなりにくい歯にも効果的 | 歯質は遺伝や加齢、生活習慣などによって異なり、人によっては黄ばみが強い・白くなりにくい方もいます。そういう方はオフィスやホーム単体ではホワイトニング効果が得られにくいため、デュアルホワイトニングがおすすめです。 | 長期的に白さを維持できる | オフィスホワイトニングは短期間で歯を白くできますが、色戻りしやすいのが特徴です。ホームホワイトニングを併用すれば、白い歯を長期間維持できます。 |
ホワイトニング施術を
受けられる際の注意点
- 治療に対して十分にご理解いただき、意欲がある方に限り施術可能です
- 被せ物(差し歯)や神経を抜いた歯はホワイトニングでは白くなりません(ウォーキングブリーチでの施術をおすすめします)
- ホワイトニングを行う箇所に虫歯がある場合には、治療を行う必要があります(自然出血を伴うレベルでの歯周病や歯肉炎)
- 縁上歯石が強く付着している場合は、施術できません(縁下歯石は可能)
- 妊娠中や授乳時には、施術はできません
- 16歳未満の方は、歯が成長過程にあるため施術はできません
- 16歳以上で未成年(18歳未満)は保護者の同意が必要になります
- 一度白くなっても、時間の経過とともに色は後戻りします
-
天然歯に近い白さの補綴物で
お口を美しく -
