ノンメタルの補綴物で
歯を白くする
- 浜松町駅前オレンジ歯科・文化放送メディアプラスB1『歯を白くする歯医者さん』TOP
- ノンメタルの補綴物で歯を白くする
天然歯のような美しさと
将来の健康の両立
浜松町駅北口徒歩1分・大門駅地下1階直結の「歯を白くする歯医者さん・オレンジ歯科」は、ノンメタル治療で歯を白くする歯医者です。歯科素材として一般的に使われる歯科用パラジウムの合金は、アレルギー反応を引き起こす可能性があり、患者さまの健康を害するリスクがあります。そのため当院では、セラミックやジルコニアなど白い素材を用いて、天然歯のような美しさと健康を両立させる治療をご提供しています。
患者さまの健康のために
ノンメタル治療を推奨

当院では、銀歯や金歯などの金属を使用しないノンメタル治療を行っています。歯科素材に使われている歯科用パラジウム合金にはアレルギーを引き起こす可能性があり、全身に悪影響があることが分かっているからです。アレルギーを発症すると、全身に爛れのような症状が出たり、かゆみが生じたりします。一度発症すると完全に元通りに治療するのは困難であり、治療期間も長期にわたります。
当院では、そのようなリスクがあると分かっていながら金属をすすめることはできません。美しさと健康の両面から、セラミックやジルコニアなどの白い素材を使います。患者さまのお口の状態や使用する部位に合わせて、最適な材料をご提案します。
ラミネートべニア

ルナミシェルF
ハイブリッドレジンラミネートベニアを装着し、前歯の審美改善を行う施術です。歯を削らないため、患者様の天然の歯質を最大限に温存し、長期的な口腔健康維持に貢献します。
従来のポーセレンラミネートベニア(厚さ1.0〜1.5mm)と比較し、厚さ約0.5mmと極薄ですが、優れた柔軟性と耐久性を持ち、接着性の強い素材を使用しています。
ルナミシェルFのメリットと注意事項
| メリット | 注意事項 | |
|---|---|---|
|
注意事項 |
|
ルミナシェルFの費用
| ルミナシェルF | 1〜2歯 | 74,800円/歯(税込) |
|---|---|---|
| 3〜4歯 | 71,500円/歯(税込) | |
| 6〜8歯 | 64,900円/歯(税込) | |
| 即日施術料 | 無料〜33,000円(税込) ※施術する歯数によって変動 |
ルミナシェルFの症例
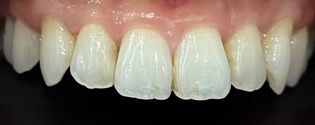
CASE.01

- Before -

- After -
| 施術内容 | ルミナシェルF (削らないラミネートベニア) (上の前歯2本) |
|---|---|
| 施術期間・回数 | 30分・1回 |
| 施術費用 | 総額182,600円(税込) 内訳:74,800円(税込)×2歯+即日装着33,000円(税込) |
| 備考 | 前歯が欠けていることにお悩みのある患者様へ施術した症例です。 |
| 留意事項 | ・強い外力が加わると破折する可能性があります。 ・喫煙は熱劣化による耐久性と接着性の劣化が生じます。 ・美しい仕上がりを長期的に維持していただくため、 歯科医院での継続的なプロフェッショナルメンテナンスを推奨いたします。 |
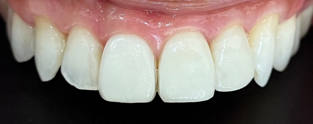
CASE.02

- Before -

- After -
| 施術内容 | ルミナシェルF (削らないラミネートベニア) 上顎3歯 右上1番・左上1・2番 |
|---|---|
| 施術期間・回数 | 60分 1回 |
| 施術費用 | 総額236,500円(税込) 内訳:71,500円(税込)×3歯+即日装着料22,000円(税込) |
| 留意事項 | ・強い外力が加わると破折する可能性があります。 ・喫煙は熱劣化による耐久性と接着性の劣化が生じます。 ・美しい仕上がりを長期的に維持していただくため、 歯科医院での継続的なプロフェッショナルメンテナンスを推奨いたします。 |
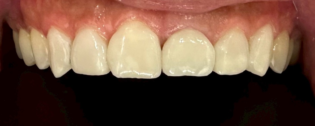
CASE.03

- Before -

- After -
| 施術内容 | ルミナシェルF (削らないラミネートベニア) 上顎6歯 右上1~3番・左上1~3番 |
|---|---|
| 施術期間・回数 | 75分 1回 |
| 施術費用 | 総額389,400円(税込) 内訳:64,900円(税込)×6歯+即日装着料0円(税込) (6~8歯価格) |
| 留意事項 | ・強い外力が加わると破折する可能性があります。 ・喫煙は熱劣化による耐久性と接着性の劣化が生じます。 ・美しい仕上がりを長期的に維持していただくため、 歯科医院での継続的なプロフェッショナルメンテナンスを推奨いたします。 |
ジルコニアラミネートベニア
前歯にセラミックを被せて白く美しくする方法がラミネートべニアです。歯の表面を削り、薄いセラミックを貼り付けます。この治療により、歯の形を整えることができ、軽度の歯並びや噛み合わせの乱れも改善できます。結果的に、口元を美しく整えることが可能です。
ジルコニアラミネートベニアの特長
ラミネートベニアは歯を削る量が少なく、軽度の歯並び・噛み合わせであれば矯正治療よりも短期間で改善できます。また、セラミックを使用するため金属アレルギーの心配がありません。
ジルコニアラミネートベニアの費用
| ジルコニアラミネートべニア | 119,000円(税込) |
|---|
インプラント治療

失われた歯の機能を取り戻すための治療です。抜歯などで失った歯があった顎の骨にインプラント(人工歯根)を埋め込みます。そこに支台を立てて、セラミック製の被せ物や特殊な入れ歯を装着して歯の機能回復を行います。
インプラント治療のメリットとデメリット
| メリット | デメリット | |
|---|---|---|
|
デメリット |
|
インプラントと
ブリッジ・入れ歯の違い
※表は左右にスクロールして確認することができます。
インプラント治療![]() |
ブリッジ治療![]() |
入れ歯治療![]() |
|
|---|---|---|---|
| 治療方法 | 人工歯を埋め込み支台にする方法 | 連結した人工歯を装着する方法 | 取り外し可能な装置を装着する方法 |
| 対応本数 | 1本からすべての歯まで | 数本 | 1本からすべての歯まで |
| 周りの歯への影響 | ほとんど負担をかけない | 支台にする隣接した歯に大きな負担がかかる | バネをかける歯に大きな負担がかかる |
| 顎の骨への影響 | 刺激が伝わるので痩せにくい | 痩せやすい | 痩せやすい |
| 審美性 | 天然歯に似せることができる | 素材による | 顎の骨の痩身により口元にしわがよりやすい |
| 清掃性 | 歯ブラシや歯間ブラシを使った丁寧な磨きが必要 | 丁寧な歯磨きが必要 | 通常の歯磨き都ともに、入れ歯の清掃が必要 |
| 治療期間 | 人工歯根が顎の骨に結合するための時間が必要なので、治療期間が長め | お口の状態により2週間~2ヶ月ほどで作成可能 | 入れ歯の形状やお口の状態により、2週間~2ヶ月ほどで作成可能 |
| 欠点 |
・治療費用が比較的高額 |
・支えになる削った歯の寿命を縮めてしまう |
・よく噛めないことがある ・不自然に見えることがある |
当院の審美補綴治療について

審美補綴を行った前歯は、いつまでも白さや美しさを保てることが理想です。しかし、年月の経過とともに歯が長く見えたり、着色や変色が起こったりします。そのため、やり直しが必要となることがありますが、「経年劣化は仕方のないこと」と諦めてしまい、やり直しが当たり前になってはいけません。
当院では、丁寧な処置を行えばやり直しは当たり前にならないとい考えます。患者さまの将来のため、見た目だけでなく、しっかり噛める機能面や長持ちさせる予防面にまで配慮した審美補綴治療を心がけています。
前歯の被せ物の種類
※表は左右にスクロールして確認することができます。
| ジルコニアセラミック | ジルコニア | セラミック | 硬化レジン前装冠(チタン冠のみ) | CADCAM冠 | |
|---|---|---|---|---|---|
| イメージ | ![]() |
![]() |
![]() |
![]() |
![]() |
| 素材 | 上部で美しいジルコニアに、表面はセラミックで形成する | 丈夫で白いジルコニア | セラミック | 金属のフレームに歯科用プラスチックを貼り付ける | 保険診療で白い歯を入れられる |
| 美しさ | ◎ | △ | 〇 | × | ○ |
| 耐久性 | ○ | ◎ | ○ | × | △ |
| 清潔感 | ○ | ○ | ○ | × | ○ |
| 金属アレルギー | 心配なし | 心配なし | 心配なし | 可能性がある | 心配なし |
| 保険対象 | × | × | × | ◎ | ○ |
奥歯の被せ物の種類

歯はそれぞれに役割があり、1本1本異なる形状をしています。前歯は食べ物を噛み切りやすい形状、小臼歯は噛み砕きやすい形状、大臼歯(奥歯)はすりつぶして飲み込みやすくするのに適した形状をしています。
もし奥歯が虫歯になりそのまま放置して失われてしまうと、胃腸に負担がかかるだけでなく栄養補給もうまくいかなくなります。その結果、健康に影響が出て、体調不良や病気などの引き金になるかもしれません。当院では将来の健康を考え、患者さまのお口に合った最適な形状の被せ物をご提案します。
| ハイブリッドセラミック | セラミック | ジルコニア | ||
|---|---|---|---|---|
| 小臼歯(前歯から数えて4番目と5番目の歯)と6番目の歯の第1大臼歯は条件が整えば「ハイブリッドセラミック」というレジンとセラミックを混ぜた素材で治療可能です。 保険診療で製作できるので、安価なのが特長です。 |
セラミック | セラミックでつくる補綴物です。天然歯に近い透明感や色調をつくることができます。金属アレルギーの心配もありません。ハイブリッドセラミックより耐久性が高いです。 | ジルコニア | セラミックの一種で、白い金属ともいわれるほど強度が高いところが特長です。変色や劣化の心配がなく、強い力がかかる奥歯でも使用可能です。 また、汚れが付きにくい素材ですので虫歯や歯周病にかかるリスクを抑えられます。 |
CAD/CAM冠が
一部保険適用になりました!

保険でできる白くて美しいメタルフリーの被せ物である、CAD/CAM冠をご提案できるようになりました。CAD/CAM冠は適度な硬さと柔軟性があり、噛み心地が天然の歯に近いのが特長です。セラミックや金属素材に比べると強度は劣るものの、保険適用でリーズナブルに歯を白くできます。また、金属素材ではないためアレルギーの心配もありません。
ビューティーコート

ビューティーコートは、歯のマニキュアに近いイメージです。ホワイトニングとは異なり、歯そのものを白くするのではなく、歯面にコート剤を塗ることで歯を白く見せます。施術当日にすぐ理想的な白さにでき、コート剤を除去すればすぐ元に戻せます。白さの持続期間は患者さまの生活習慣にもよりますが、1~3ヶ月程度です。
ビューティーコートの症例
CASE.01

- Before -

- After -
| 治療内容 | ビューティーコート(上の前歯6本) |
|---|---|
| 治療期間・回数 | 1日・1回 |
| 治療費用 | 18,000円(税込) |
| 副作用・リスク | コーティングが変色したり剥がれてしまう場合があります。 |








